호주 구인 광고 수...
호주 구인 광고 수가 감소하면서 실업률이 현재의 4.1%보다 더 상승할 수 있다는 우려가 제기되고 있다고 9news가 보도했다.
다양한 웹사이트의 평균 구인 광고의 수를 집계하는 ANZ-Indeed...
장애인 남성, 퍼스 기차역에...
퍼스 기차역에 구금된 후 사망한 장애인의 가족은 그의 죽음을 막을 수 있었다고 생각한다고 9news가 전했다.
24세의 조쉬(Josh)는 16일 금요일 밤 퍼스 지하철역(Perth Underground Station)에서 보안...
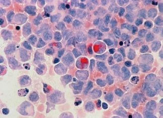
45세이하 호주 여성 혀암...
혀 통증 지속되면 조기 검진하라!
원인파악 깜깜
“욱씬거리는 혀의 통증이 지속된다면 혀암 가능성을 배제할 수 없다.”
담배를 피우거나 술을 많이 마셔본 적이 없는 많은 여성을 포함해 호주의 젊은층에서...
호주 시드니, 메트로 웨스트...
호주 시드니의 대규모 공공교통 프로젝트인 메트로 웨스트가 중요한 이정표를 달성했다. 터널 굴착기 ‘Betty’가 웨스트미드 역 구간을 통과하며 전체 공사 진행률이 93%에 도달했다.
NSW 주총리 크리스...
전북 현대 모터스, AFC...
전북 현대 모터스가 오는 2025년 3월 13일(목) 오후 7시, 시드니 무어 파크의 시드니 풋볼 스타디움에서 시드니 FC와 AFC 챔피언스 리그 2, 8강 2차전 경기를...
반 이민 선봉장 원...
자유연정과 국민지지도 동률 기록
반 이민정책을 내걸고, 유권자들의 반 이민정서를 파고 든 소수 야당 원 네이션이 상승가도를 달려 메이져 야당 자유연정과 국민 지지도가 동률을 기록했다....
NSW 두 남성, 머레이...
주말 동안 빅토리아-뉴사우스웨일스(NSW) 경계에 있는 머레이 강(Murray River)에서 한 무리의 여성들이 남성들로 가득 찬 보트에 의해 괴롭힘을 당한 혐의로 두 명의 남성이 기소되었다고 9NEWS가...
시드니 로젤 인터체인지 터널,...
시드니 로젤 인터체인지(Rozelle Interchange)의 새로운 터널 구간이 2025년 1월부터 4월까지 약 600만 달러의 과속 벌금을 징수하며 뉴사우스웨일스(NSW) 주정부의 주요 수익원으로 부상하였다고 9NEWS에서 보도했다.
총 15,834건의...
모나쉬 연구진 베타...
활성화를 억제할 수 있다는 점을 시사하며, 기존 치료법과 병행하여 치료 효과를 높일 수 있다. 베타 차단제 복용시 혈압 조절뿐만 아니라 삼중음성 유방암 환자의 전이...














![전북 현대 모터스, AFC 챔피언스 리그 2 준결승 진출을 위해 시드니 FC와 맞대결 교민잡지 editor@kcmweekly.com [카카오톡] kcmweekly 추가 교민잡지는 여러분의 소중한 제보를 기다립니다.](https://kcmweekly.com/wp-content/uploads/2025/03/unnamed-2-324x235.jpg)



